Earthwide Surgical Foundation is a 501(c)(3) non-profit organization, dedicated to delivering surgical care to the poor of the world by means of manpower, equipment and education.
1/27/2012
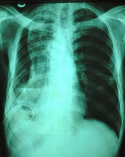
WHAT IS THE DIAGNOSIS?
This X-ray is from a young man with a large pleural effusion which was drained with a chest tube. Most of the fluid is gone but the lung is still unexpanded and the mediastinum is shifted to the right due to volume loss. He has a trapped lung.